HOME >  小児矯正 >  親子の矯正治療

親子の矯正治療

歯並びは遺伝する? 親と子の歯並びを考える

両親のいずれかが歯並びやかみ合わせに問題を抱えているような場合、お子さんも似るのはある意味当然と言えます。今の時代、子どもの歯並びの問題は親として関心事の一つになっています。
ここでは実際に親子で似た歯並びになり矯正治療を行ったケースをご紹介します。
お母さまのほうは、10歳時に他の医院にて反対咬合(受け口)の治療を開始し、途中引っ越しのため当院が引き継いで治療を行いました。その後、お子さんが生まれたのですが、二人のお子さんの咬み合わせが姉妹共に反対(受け口)になっていることに気づき、相談にこられました。

親子で受け口(反対咬合)に

受け口とは上あごの歯と下あごの歯の噛み合わせが前後逆になっている状態です。前歯でうまく噛むことができません。反対咬合とも言います。受け口になる原因は遺伝(生まれつき上あごが小さい、上あごよりも下あごが大きいなど)や上あごの成長が不十分、舌を下の歯に押し当てる癖の影響などが考えられています。
お母さまの初診時の咬み合せの写真につきましては他の医院様での撮影物となりますので、Webサイトでの掲載は控えさせていただきますが、お子様同様に下あごが前に出ており咬み合わせが逆になっていました。

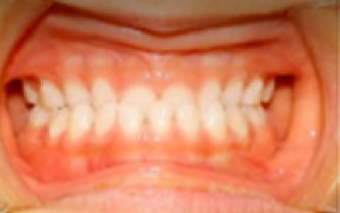
お子さんは姉妹で、ともに5歳の時の歯並びです。

お姉さん(5歳時)

お姉さん かみ合わせ写真 横
お姉さん かみ合わせ写真 前

下あごが前に出ており咬み合わせが逆になっています。

妹さん(5歳時)

妹さん かみ合わせ写真 横
妹さん かみ合わせ写真 前

妹さんも下あごが前に出ており咬み合わせが逆になっています。

お子さんの歯並びが心配になったら

お母さまはご自身の治療経験からお子さんにも早めの治療を希望されて相談に来られました。心配しても、早めに行動(歯科を受診)する方は、ほんの一握りかもしれませんが、小児歯科や矯正歯科など多数を標榜する歯科医院を受診した場合、『まだ治療には時期が早いですね。』『永久歯に生え変わるまで様子を見ましょう。』や、『今すぐにやらないと後が大変ですよ。』『(計画性もなく)装置を使ってみましょう。』など、複数の医師から違う説明を受ける場合があり、理解が深まるというより混乱してしまう方も多いのではないでしょうか。

開始時期や治療方針は、矯正歯科治療を専門に行う歯科医師の間でも、必ずしも意見が一致しない場合もあり、その違いは、知識や治療経験、治療をするにあたっての歯科医師の方針に由来してきます。まして、自由診療である歯科矯正を行う際には、担当医とよく話しそういった部分も見極める事が重要です。それには、担当医師がこれまでどういった症状を学び、治療してきたか(専門性)や、これまでにどのような症状をどのくらい診て来たのか(治療実績)聞いてみてもよいかもしれません。Webサイトなどで公開している医院も有りますので、一つの判断基準としてみるのもよいかもしれません。

また、『少し良くなったから』とか『目立っていたところが解消されたから』といって中途半端に治療を中断すると、のちに大きな問題に発展することにもなりかねません。 治療開始しても、永久歯が生えそろう(小学校高学年)までは経過を診てもらえるかという事もとても大事な事ですので、事前に確認して下さい。

当クリニックでは、幼少期(早期)の矯正治療は、後で治療を振り返った時『よく覚えてないけど、そんな事もあったね〜』くらいの思い出話ですむよう、親子の負担をできるだけ少なくてすむような診療を心がけています。

※お子さん達の治療時の症例情報です。

  • 治療内容:矯正装置を装着して歯を少しずつ動かし、歯並びや口元のバランスを整えていきます。
  • 治療期間及び回数:動的治療 半年~2年前後/6~24回(月に1回)程度の通院・保定 2年前後/4~8回(3~6か月に1回)程度の通院
  • 一般的な治療費概算:乳歯列期・混合歯列期の治療 約18~40万円、永久歯列期の治療 約45~110万円 ※症状や矯正装置、混合歯列期からの継続かどうかによる
  • リスク・副作用:
  •  ・個人差はありますが、初めて装置を付けた時は違和感や不快感、痛みなど生じることがあります。
     ・治療前後の比較で、歯根が吸収して短くなることがあります。
     ・ごく稀に、歯と骨が癒着して歯が動かないことがあります。
     ・歯を動かすことにより、歯肉の退縮やブラックトライアングルが見られる場合があります。
     ・矯正装置を外した後、適切に保定装置を使用しないと「後戻り」を生じる可能性があります。
     ※ 矯正歯科治療は公的健康保険の対象外の自由(自費)診療となります。

※お母さまの「受け口」治療時の症例情報です。受け口治療の参考にご確認ください。

  • 主訴:受け口
  • 診断名あるいは主な症状:歯列不正
  • 年齢:10歳 女子
  • 治療に用いた主な装置:マルチブラケット装置
  • 抜歯部位:非抜歯
  • 治療期間:年(通院回数回)
  • 治療費概算(自費):総額1,089,000円(税込)
  • 内訳・・・相談ならびに検査費用 0円、治療費用 1,001,000円(税込/ 分割・無利息)、経過レントゲン費用 22,000円×4=88,000円(税込)
  • リスクと副作用
  •  ・個人差はありますが、初めて装置を付けた時は違和感や不快感、痛みなど生じることがあります。
     ・治療前後の比較で、歯根が吸収して短くなることがあります。
     ・ごく稀に、歯と骨が癒着して歯が動かないことがあります。
     ・歯を動かすことにより、歯肉の退縮やブラックトライアングルが見られる場合があります。
     ・矯正装置を外した後、適切に保定装置を使用しないと「後戻り」を生じる可能性があります。

お子様の矯正でお悩みの方はお気軽にご相談ください。